
当90岁的老人在手术台上两次发生室颤,监护仪尖锐的警报声响彻导管室时,身着铅衣的医护人员没有片刻迟疑——除颤、按压、继续手术……这场与死神的拉锯战,最终以老人的康复画上句号。
而这场救治的特殊之处还在于:患者的子女,正是医疗系统的同行。他们选择将父亲的生命托付给汉寿县人民医院胸痛中心,用行动诠释了什么叫“同行之间的信任”。
突发心肌梗死:家属的“正确选择”
2026年2月1日上午,90岁的老人突感剧烈胸痛,伴呼吸困难、大汗淋漓。
老人的子女都是医务工作者,凭借职业敏感,他们意识到这不是普通的不适。“父亲当时脸色苍白,捂着胸口说不出话,我们第一反应就是心肌梗死。”家属回忆。
他们没有慌乱,立即将老人送至自己工作的医院。值班医生迅速完成心电图及心肌酶检查,提示:急性下壁心肌梗死。

(▲心电图报告显示:II、III、AVFST段明显上抬,病理性Q波形成提示下壁心肌梗死。)

(▲心肌酶检测报告:肌钙蛋白:25.20ng/ml↑,肌红蛋白:149.2ng/ml↑,肌酸激酶同工酶:57.54ng/ml↑明显偏高提示心肌坏死。)
但这家医院不具备介入手术条件。怎么办?家属的选择干脆利落:“马上联系汉寿县人民医院胸痛中心,我们信得过他们。”
10:41,汉寿县人民医院胸痛中心警报响起。一场县域内的生命接力,就此展开。
信息比人跑得快:兄弟医院的无缝接力
接到警报后,胸痛中心立即启动绿色通道。120值班医生孙劲松在赶往首诊医院的途中,已通过电话与对方医生充分沟通:患者无手术禁忌证,手术指征明确。
“患者未到,信息先到。”孙劲松第一时间向心血管内科三病区李俊副主任医师汇报病情。10:48,导管室激活。
与此同时,孙劲松在救护车上与家属进行预沟通,提前告知病情危重、需急诊介入治疗。家属心中有数,为后续抢救争取了时间。
11:15,救护车直接抵达汉寿县人民医院导管室——绕行急诊科、绕行CCU,双绕方案为老人抢下黄金时间。
从接到警报,到患者躺上手术台,全程仅用34分钟。
“这就是胸痛中心全县联动的意义。”李俊说,“无论患者从哪个乡镇、哪家医院转上来,只要信息先到,我们就能提前启动、提前准备,患者到了就能直接手术。”
室颤两次:手术室内的生死两关
然而,真正的考验才刚刚开始。
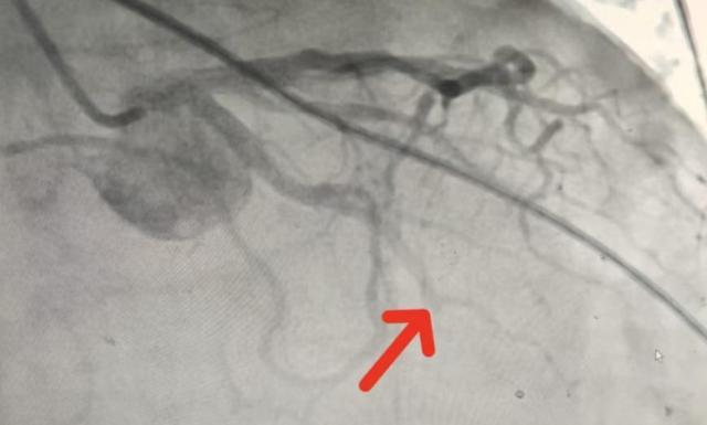
冠脉造影显示:患者三支血管严重病变,回旋支远端完全闭塞——这正是本次心肌梗死的“罪犯血管”。更棘手的是,90岁高龄意味着血管脆性大、心脏储备功能差,手术风险成倍叠加。

(▲冠脉造影提示回旋支远端完全闭塞。)
手术开始后不久,意外发生了。
患者突然烦躁不安,血压骤降,监护仪上波形骤变——室颤。
“立即除颤!”李俊一声令下,护士迅速递上除颤仪。电流穿过老人的胸腔,心律短暂恢复,但不到几分钟,室颤再次袭来。
第二次除颤。胸外按压。抢救药物推注。
导管室内,铅衣下的医护人员早已汗流浃背,但没有人停下手里的动作。一边抢救,一边还要继续手术——闭塞的血管必须尽快开通,否则老人的心脏撑不住第二次打击。
“那时候脑子里只有一个念头:快一点,再快一点。”参与抢救的护士事后回忆。
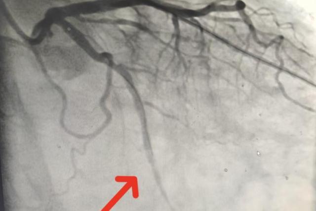
11:37,导丝通过病变血管;球囊扩张;支架精准植入——闭塞的回旋支重新显影,血流恢复3级。

(▲术后患者回旋支远端显影,血流恢复3级。)
从穿刺成功到血管开通,仅用10分钟。
12:00,手术顺利结束。
从抵达医院到血管开通,全程仅用22分钟。
术后,老人的生命体征逐渐平稳。当监护仪上规律的心跳声重新响起,所有人长舒一口气。
“我们也是医疗系统的,但我们选择相信。”
术后,老人转入监护病房。在医护团队的精细化管理下,老人闯过了抗栓治疗与出血风险的平衡关,闯过了感染关,身体状况一天天好转。
几天后,老人顺利出院。家属紧紧握着医护人员的手,说的第一句话是:“我们自己就是医疗系统的,知道这个手术的风险有多大。但我们从一开始就相信,相信这里的团队能顶住压力。”
这份来自同行的信任,比任何赞誉都更有分量。
李俊感慨:“患者家属是同行,意味着他们比普通家属更清楚手术的风险,也更清楚我们的付出。能得到他们的认可,是对我们最大的肯定。”
县域医疗:值得被信任的理由
90岁,两次室颤,三支血管病变,兄弟医院无缝接力,同行家属倾心托付……
这场救治,是一个个数字和细节堆砌而成的生命奇迹,更是汉寿县人民医院胸痛中心日常应急能力的一次真实写照。
“年龄从来不是界限,风险从来不是借口。”胸痛中心医疗总监、心血管内科主任朱济文副主任医师说,“当患者把生命交到我们手上,我们能做的,就是全力以赴。”
而在县域医疗逐步成长的今天,这样的全力以赴,正在成为越来越多患者和家属——甚至是医疗同行——选择相信的理由。
湖南医聊特约作者:汉寿县人民医院 心血管内科三病区 李俊
关注@湖南医聊,获取更多健康科普资讯!
(编辑92)网上炒股配资平台
红腾网配资提示:文章来自网络,不代表本站观点。